




"Me detectaron una lesión maligna en la lengua. Desde el primer momento sentí que estaba en manos expertas. Fueron directos, empáticos y comprometidos. Me trataron con rapidez, y cuidaron no solo mi salud física, también mi estado emocional. Me salvaron la vida."
"Recibir un diagnóstico oncológico en la zona de la cabeza fue muy duro. Pero encontrar un equipo médico tan humano y profesional marcó la diferencia. Me acompañaron en todo: diagnóstico, tratamiento, recuperación. Hoy, no solo estoy sano, sino profundamente agradecido por el trato cercano y la calidad médica."
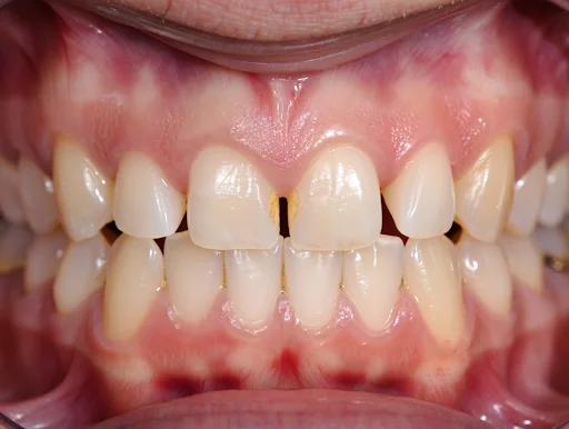
"Nunca pensé que un diseño de sonrisa pudiera tener tanto impacto en mi autoestima. El equipo se tomó el tiempo de estudiar cada ángulo y el resultado fue natural y hermoso. ¡Gracias por tanto detalle!"
"Los implantes subperiósticos me cambiaron la vida. El procedimiento fue complejo, pero el equipo fue tan profesional que todo fluyó sin problemas. El resultado: una dentadura funcional, estética y segura. ¡Los recomiendo con los ojos cerrados!"
"El diseño de sonrisa fue una experiencia transformadora. Analizaron mi rostro, mi forma de hablar, mi estilo. El resultado fue una sonrisa completamente mía, pero mejorada. ¡Fue arte y ciencia!"
"Siempre quise mejorar la forma de mis dientes. Con las carillas lo lograron a la perfección. Cada detalle fue cuidado, y el resultado fue más de lo que imaginé. Gracias por hacerme sonreír de nuevo."
"Me pusieron carillas en los dientes superiores y no puedo creer el cambio. Parecen naturales, armoniosas y me devolvieron la confianza. Un trabajo detallista y muy profesional. ¡Son artistas dentales!"
"Siempre había tenido los dientes amarillentos, y después del blanqueamiento, me cambió la expresión. Es impresionante el cambio que puede dar una sonrisa más blanca. Muy agradecido por la atención y los resultados."
"El blanqueamiento fue rápido, efectivo y sin molestias. Me explicaron todo, cuidaron mi sensibilidad dental y el resultado fue increíble. ¡Volví a sonreír sin taparme la boca!"
"Con un enfoque estético, el equipo mejoró mi sonrisa de manera natural. No solo se ven bien mis dientes, sino que me siento mejor conmigo mismo. Un trabajo delicado, profesional y con gran sentido estético."
"Quería mejorar mi sonrisa sin grandes intervenciones, y me ofrecieron un tratamiento de estética dental personalizado. Blanqueamiento, pulido, y algunos detalles que marcaron la diferencia. ¡Me siento renovada!"
"Fui por un tratamiento de caries y terminé renovando mi sonrisa con el doctor Medina. ¡Qué experiencia tan buena! Son muy profesionales, explican cada paso y hacen que uno se sienta cuidado. Me hice carillas también y estoy feliz con el resultado."
"Mi ortodoncia fue prequirúrgica y parte de un tratamiento integral. Lo que parecía complejo, la doctora Adserias lo convirtió en una experiencia tranquila y clara. Hoy tengo una mordida perfecta y una sonrisa increíble. Son verdaderos especialistas."
"Requería una prótesis dental y el doctor Besuman me ofreció una solución estética y funcional perfecta. Desde la atención hasta el resultado final, todo fue impecable. Hoy como mejor, hablo mejor y me siento más seguro. ¡Un equipo excelente!"
"Fui diagnosticado con apnea del sueño. Me costaba mucho descansar y me levantaba agotado. Gracias al tratamiento de medicina dental del sueño, mi calidad de vida mejoró radicalmente. ¡Duermo bien, tengo energía y me siento como nuevo!. La doctora Cid me acompañó en todo el proceso, la recomiendo al 100%."
"Con brackets tradicionales, el equipo logró corregir una mordida muy compleja. Siempre sentí que sabían lo que hacían. Gracias a su dedicación, hoy tengo una sonrisa funcional y estética. ¡Trabajo impecable!"
"Usé ortodoncia convencional durante dos años. Aunque al principio me preocupaba lo estético, el equipo me hizo sentir bien desde el primer día. Los controles fueron siempre puntuales y atentos. ¡Mi sonrisa quedó perfecta!"
"Me sometí a un tratamiento de ortodoncia invisible para corregir mi mordida, y el cambio ha sido impresionante. La doctora Roldós es súper profesional, siempre atentos y disponibles. ¡Gracias por devolverme la sonrisa sin que nadie notara que llevaba ortodoncia"
"La salud periimplantaria es clave y lo aprendí con ellos. Me enseñaron a cuidar mis implantes, me trataron una pequeña infección a tiempo y hoy están como nuevos. Gran atención y conocimiento."
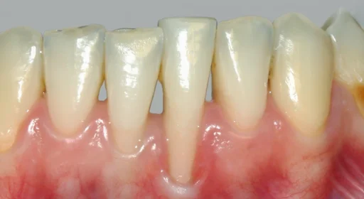
"Tenía una retracción gingival que afectaba la estética y la salud de mis dientes. Me realizaron un injerto de tejido con una precisión admirable. El doctor Santos fue atento, explicativo y muy profesional. La recuperación fue rápida y el resultado, espectacular. ¡Totalmente recomendable!"
"Tuve problemas con encías alrededor de un implante y temía perderlo. Pero con el tratamiento adecuado y el seguimiento constante del equipo, lograron salvarlo. Hoy está firme y sin inflamación. ¡Salud perfecta otra vez!"
"El bruxismo me tenía agotada, con dolor diario en la mandíbula y cuello. Me trataron con infiltraciones y terapia especializada. El cambio ha sido impresionante. Duermo mejor, no tengo dolor y me siento mucho más relajada. El doctor Fernandez y su equipo me han cambiado la vida."
"El injerto de encía era algo que me asustaba, pero la doctora Sagüillo me explicó cada detalle con tanta empatía que me sentí segura. El procedimiento fue menos invasivo de lo que imaginaba y el resultado ha sido impresionante. Ahora tengo una sonrisa más saludable y armónica."
"Me realizaron un injerto de tejido por recesión gingival y fue una experiencia muy positiva. La doctora González es una profesional detallista, empática y muy humana. La estética de mi encía mejoró notablemente. Eternamente agradecido."
"Mis encías sangraban constantemente y pensaba que era algo sin solución. Acudí a la doctora Jiménez y no solo trató el problema, sino que me enseñó cómo cuidar mi salud bucal para no volver a tener estos problemas. Hoy mis encías están sanas y mi sonrisa también."
"La artrocentesis cambió mi día a día. Ya no tengo chasquidos, ni dolor al masticar. Lo más importante fue la confianza que me transmitieron durante todo el proceso. ¡Mil gracias!"
"Con las infiltraciones en la ATM, recuperé movilidad y dejé de vivir con dolor constante. El procedimiento fue ambulatorio, rápido y efectivo. Agradezco de corazón la atención recibida."
"Tenía bloqueo en la mandíbula al despertar. Me recomendaron una artrocentesis y fue una solución perfecta. Poco invasiva y muy efectiva. Desde entonces, no tengo molestias. Trato excelente."
"Había perdido hueso en la mandíbula y me dijeron que no podía ponerme implantes. Pero con la reconstrucción alveolar, el equipo logró devolverme esa posibilidad. ¡Fue increíble! Hoy tengo mis implantes y una sonrisa nueva. Mil gracias."
"El dolor mandibular me tenía agotada. Me realizaron una infiltración en la articulación y fue increíble el alivio. Lo mejor: el trato cálido, el cuidado durante todo el procedimiento. ¡Un gran equipo!"
"La artrocentesis fue parte del tratamiento para mi disfunción mandibular. Estaba desesperada por el dolor y los bloqueos al masticar. El equipo actuó con rapidez y mucha humanidad. El procedimiento fue efectivo y cuidadoso. Mi mandíbula volvió a la normalidad y mi calidad de vida mejoró muchísimo."
"Llegué con un dolor mandibular constante que me impedía incluso abrir bien la boca. Me diagnosticaron un trastorno de ATM y me realizaron una artrocentesis. El alivio fue casi inmediato. El trato fue excelente y me guiaron en cada paso del postoperatorio. Hoy no tengo dolor. ¡Mil gracias!"
"Me sorprendió el nivel de tecnología que usan. Con la planificación 3D, me mostraron el tratamiento completo antes de empezar. La cirugía fue precisa y sin sorpresas. ¡Todo salió tal cual lo planearon! Excelencia total."
"La cirugía guiada me dio muchísima tranquilidad. Saber que cada implante iba milimétricamente ubicado gracias a la tecnología 3D fue un alivio. ¡Resultado perfecto, sin dolor, sin errores! Un equipo muy avanzado y humano."
"Después de años sin dientes superiores, los implantes cigomáticos fueron mi salvación. El procedimiento me daba miedo, pero doctor Fernández y la doctora Sagüillo me transmitieron tanta seguridad que no dudé. Todo salió perfecto. No puedo dejar de sonreír. Son expertos, pero sobre todo, personas con vocación algo fundamental en el ámbito médico.."
"Pensé que no tenía solución porque me habían dicho que no tenía nada de hueso. Pero con los implantes subperiósticos, el equipo me devolvió la posibilidad de sonreír y comer con normalidad. ¡Fue un antes y un después!"
"La reconstrucción ósea fue parte de un tratamiento complejo, pero el equipo lo hizo todo tan accesible que nunca sentí miedo. Profesionales serios, cálidos y con tecnología de punta. El resultado ha sido excelente."
"Me habían dicho que no tenía hueso suficiente para implantes convencionales. Pensé que no había solución, hasta que me hablaron de los implantes cigomáticos y conocí al doctor Gutiérrez. Tanto él como su equipo fueron claros, directos y muy profesionales. La cirugía fue un éxito y hoy tengo una dentadura funcional y estética. De no tener una oportunidad a vivir una nueva vida."
"Perdí varias piezas dentales por una enfermedad y pensé que ya no podría volver a comer bien. Gracias a la implantología avanzada y al enfoque humano del equipo, tengo una dentadura nueva y funcional. Me acompañaron en todo el proceso con calidez y profesionalismo."
"Necesitaba una cirugía de elevación de seno y regeneración ósea. Fue un proceso que sonaba complejo, pero el equipo me hizo sentir tranquilo desde la primera consulta. Hoy tengo mis implantes colocados y una funcionalidad total. ¡Recomiendo al equipo de Maxiloteam con los ojos cerrados!"
"Tenía mucho miedo de sacarme las muelas del juicio, pero el equipo fue impecable. Cero dolor, mínima inflamación y una atención postoperatoria que me dejó tranquilo todo el tiempo. ¡Ni me enteré cuándo me las sacaron!"
"Me extrajeron una muela complicada por una infección. Todo el proceso fue ágil, claro y profesional. Me sentí muy bien cuidada. El seguimiento fue perfecto y no tuve ninguna complicación. ¡Un trato humano de excelencia!"
"Tenía una lesión en la encía que no sanaba y me generaba mucha ansiedad. Acudí a la clínica y desde la primera revisión sentí que estaba en buenas manos. El doctor Rivero me hizo una biopsia con gran delicadeza y me explicaron todo. El tratamiento fue rápido y eficaz. Estoy más que satisfecho."
"Me salieron varias aftas y una mancha sospechosa en la lengua. Fui atendida por el doctor Arnáiz con una calidez que me tranquilizó desde el inicio. Analizaron la lesión y me pusieron un tratamiento eficaz. Estoy totalmente recuperada y muy agradecida."
"De adulta, tenía limitaciones por un frenillo corto que nunca me había tratado. Me animé gracias a la confianza que me dio el equipo. La intervención fue sencilla, y el cambio fue inmediato. Ahora puedo hablar y mover la lengua sin restricciones. ¡Una maravilla!"
"Mi hijo tenía el frenillo lingual corto, lo que dificultaba su habla y alimentación. El tratamiento fue rápido, casi sin molestias, y el equipo mostró una calidez increíble con él. ¡En poco tiempo, su pronunciación mejoró notablemente! Eternamente agradecidos."
"Tuve una inflamación persistente en una glándula salival y me preocupaba que fuera algo serio. Desde la primera consulta con la doctora Herrero, me sentí tranquilo por el nivel de profesionalismo y el trato cercano. El diagnóstico fue preciso y el tratamiento, un éxito. Hoy estoy completamente recuperado y muy agradecido."
"Después de años con problemas en la mandíbula, decidí someterme a una cirugía ortognática. El equipo fue increíble desde el primer momento. Me explicaron cada paso con claridad, me sentí contenida y segura. Hoy, no solo puedo masticar sin dolor, sino que también recuperé la confianza en mi sonrisa. ¡Gracias por devolverme la calidad de vida!"
"Fui tratado por un traumatismo facial severo y no tengo más que palabras de agradecimiento. La precisión, dedicación y empatía del equipo de cirugía maxilofacial fue admirable. No solo lograron una recuperación funcional, sino que cuidaron cada detalle estético. Parecen artistas de la salud."
"Me detectaron un pequeño tumor en una glándula salival y fue un momento muy angustiante. Gracias al doctor Ruiz, todo el proceso fue mucho más llevadero. Me explicó con claridad toda la cirugía y me intervinieron con rapidez.. La cirugía fue impecable y la recuperación, excelente. ¡Un equipo humano de diez.!"











